Für unseren größten Schatz Laura
Für unseren größten Schatz Laura

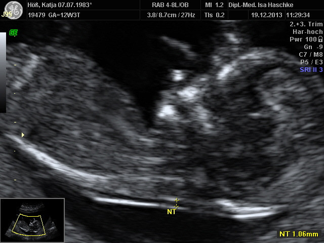
Schwangerschaftswoche 13

Nach unserer Zustimmung und Einverstandnis konnte nun die Nackenfaltenmessung des ungeborenen gemacht werden, am 19.12.2013 wurde diese durchgeführt. Der Befund ist positiv ausgefallen, zu 0,0083 % konnte eine Fehlbildung ausgeschlossen werden, worüber wir sehr glücklich sind.

Besonderer Heißhunger:  gibt es keinen und trinken nur Apfelsaftschorle

Beschwerden:                 keine Morgenübelkeit; nur leichte Krämpfe

                                     in der Leistengegend

Bauchumfang:                92 cm

Brustumfang:                 98 cm

 

Außer den Rückenschmerzen bei zu langem sitzen,stehen und liegen geht es mir sehr gut und ich kann meinen Mann weiter nerven/ärgern. xD

Druckversion | Sitemap
© Michael Höß