Für unseren größten Schatz Laura
Für unseren größten Schatz Laura

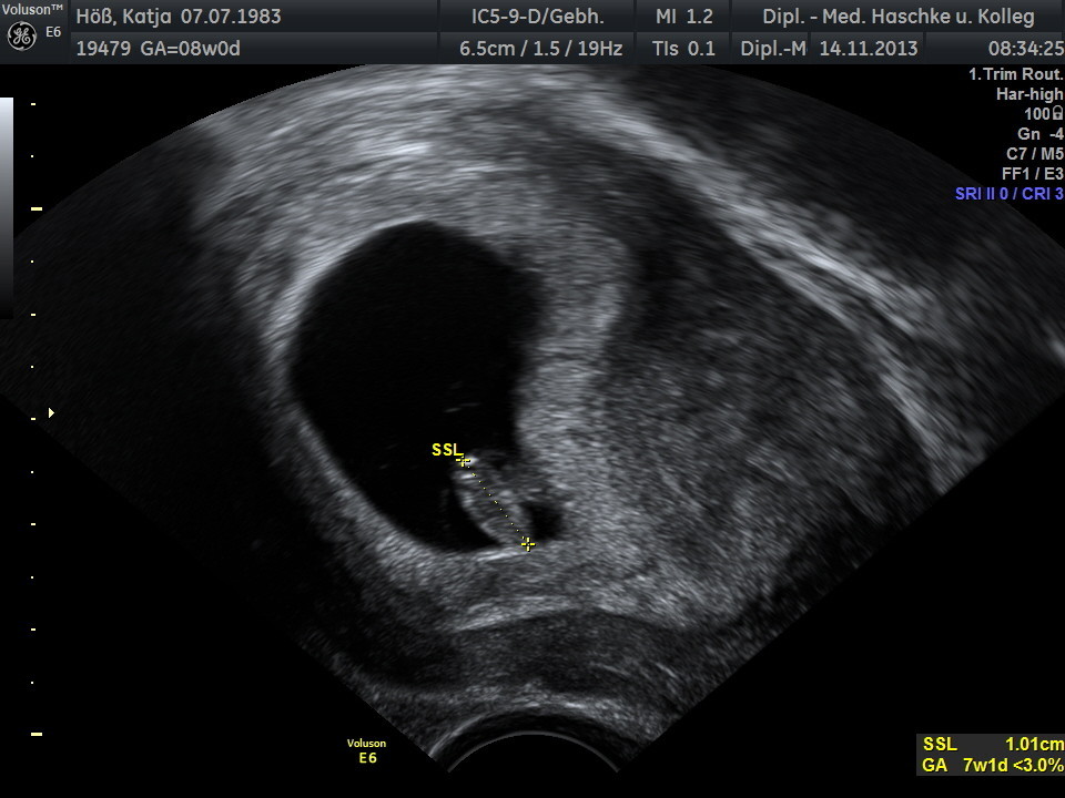
Schwangerschaftswoche 8

Das erste Ultraschallbild mit Herzschlag, wir waren mehr als glücklich und vor Freude flossen auch ein paar Tränen.

 

Besonderer Heißhunger:      nur auf Döner und Äpfel, zum trinken Fruchtschorlen

Beschwerden:                     dank einer Blasenentzündung ein bischen ausser

                                         Gefecht gesetzt, aber keine Morgenübelkeit.

Bauchumfang:                    86,5 cm

Brustumfang:                     94,5 cm

Druckversion | Sitemap
© Michael Höß